Discuz! Board 首页 资讯 查看内容

资讯

订阅

小脑萎缩最新治疗案例

2023-09-17| 来源:互联网| 查看: 317| 评论: 0

摘要: 小脑萎缩是一种较为常见的神经系统疾病,患者常常出现共济失调、平衡障碍、语言障碍等症状。在过去的几十年......
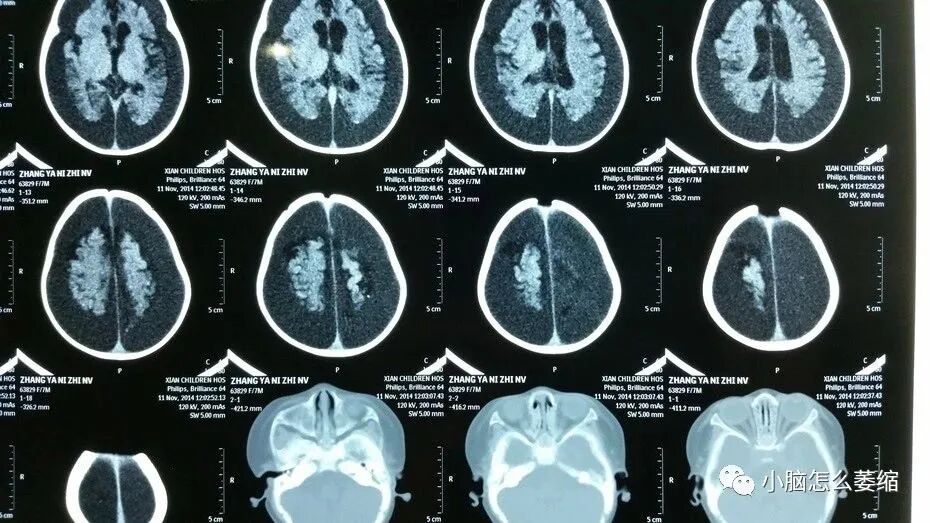
小脑萎缩是一种较为常见的神经系统疾病,患者常常出现共济失调、平衡障碍、语言障碍等症状。在过去的几十年里,许多医学研究者致力于寻找治疗小脑萎缩的有效方法。本文将介绍一例应用中药治疗小脑萎缩的成功案例。

图片

患者王女士,今年60岁,来自北京。她在五年前被诊断出患有小脑萎缩。王女士在过去的几年里出现了明显的行走不稳、语言不清等症状,且病情不断加重。期间吃过许多西药,但是并没有什么效果,后来在短视频平台上看到了盛劲强大夫治疗小脑萎缩的效果不错,但由于不方便来京面诊,于是预约了盛劲强大夫的远程微信视频会诊号位,盛劲强大夫看来,小脑萎缩属于“痿症”范畴,其病因多与脏腑功能失调有关。根据患者的舌象、脉象以及症状表现,盛劲强大夫诊断为“肝肾不足,气血两虚”。因此,采用了“补髓健脑汤”疗法进行治疗。

图片

    患者王女士,今年60岁,来自北京。她在五年前被诊断出患有小脑萎缩。王女士在过去的几年里出现了明显的行走不稳、语言不清等症状,且病情不断加重。期间吃过许多西药,但是并没有什么效果,后来在短视频平台上看到了盛劲强大夫治疗小脑萎缩的效果不错,但由于不方便来京面诊,于是预约了盛劲强大夫的远程微信视频会诊号位,盛劲强大夫看来,小脑萎缩属于“痿症”范畴,其病因多与脏腑功能失调有关。根据患者的舌象、脉象以及症状表现,盛劲强大夫诊断为“肝肾不足,气血两虚”。因此,采用了“补髓健脑汤”疗法进行治疗。

图片


小脑萎缩的治疗。药物永远是不可替代的。随着医学技术的发展西医和中医都对小脑萎缩的治疗,做出了很大的贡献。而且中医在这个领域的作用也越来越多地被患者接受和认可。如果想要采用中医治疗小脑萎缩,进行辨证分型很重要,找到适合自己病情的方式、方法进行辨证用药,因为治疗都是根据患者情况进行一人一方的针对性调理治疗,具体还是需要医生给予相应的诊察,设定相应的治疗方案。可以采取的看诊方式有面诊和视频看诊两种!

图片

“补髓健脑汤”优势:

第一步:通过补血、补气、生血、填精补血、祛瘀生新等来达到补血——造血——养血。从而使气血充沛,筋脉得到濡养,改善无力和萎缩。

第二步:健脾益胃;对于阴阳不平衡者,应给予攻实补虚、升降,并通过温寒相适方法调整患者的阴阳平衡,消除吞咽困难、呛食呛水、反应迟钝等症状。

第三步:以养阴益肾、填精补髓,壮筋骨,来改善脑部供血,增强智力,恢复肢体功能。

                咨询治疗可以长按下方二维码添加

图片


分享至 : QQ空间

10 人收藏


鲜花

握手

雷人

路过

鸡蛋

收藏

邀请

上一篇:暂无
已有 0 人参与

会员评论

社区活动

654人往期回顾
关于本站/服务条款/广告服务/法律咨询/求职招聘/公益事业/客服中心
Copyright ◎2015-2020 建阳生活网版权所有 ALL Rights Reserved.
Powered by 建阳生活网 X1.0